C.N.S. Neurosurgery
CNS AEROSPACE
CNS MEDICOLEGAL
Home
About Us
CNS Blog
Our Services
Fees
Contact
Batehaven/NSW South Coast Region
Canberra
Sydney (our H.Q.)
Multimedia
Resources
CLICK HERE for ALL Topics
Arachnoid Cyst
Arnold Chiari Type I Malformation
AVM & DAVF
Awake Craniotomy
Brain Aneurysm
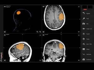
Brain Cancer
Cavernoma
Concussion
Hydrocephalus
Meningioma
MVD for Trigeminal Neuralgia ‘Tic’
Spine Without Instrumentation
Spine – Artificial discs, Mini-cages, Robotic surgery
CNS Neurosurgery | 2.intraop
2.intraop